Histologie Mensch u. Säugetier Lehrerpaket SMD-10 (Ergänzungsp.)

Histologie Mensch u. Säugetier
214,78 € *

inkl. MwSt. zzgl. Versandkosten

Lieferzeit 30-40 Werktage

  • 400961
  • Herstellerlieferung
Ergänzungspaket I mit 12 Einheiten 1. Zylinderepithel, Gallenblase vom Mensch, quer 2.... mehr
Produktinformationen "Histologie Mensch u. Säugetier Lehrerpaket SMD-10 (Ergänzungsp.)"

Ergänzungspaket I mit 12 Einheiten
1. Zylinderepithel, Gallenblase vom Mensch, quer
2. Elastischer Knorpel, quer. Färbung der elastischen Substanz
3. Haut von der Handfläche des Menschen, quer (vertikal)
4. Lunge des Menschen, quer. übersichtsfärbung
5. Herzmuskulatur, längs und quer
6. Magen der Katze, Fundusregion, quer
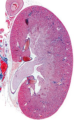
7. Niere der Katze, quer. Rinde mit Malpighischen Körperchen und Mark mit Tubuli
8. Hoden vom Kaninchen, quer. Spermatogenese
9. Eierstock vom Kaninchen, quer
10. Großhirnrinde vom Menschen, quer
11. Rückenmark der Katze, quer
12. Geschmacksknospen. Schnitt durch die Papillae foliatae der Kaninchenzunge.

12 Mikropräparate im Plastikkasten, 6 Farbige Overhead Transparente, 12 Arbeits- und Zeichenblätter als Kopiervorlagen, Textheft mit Erläuterungen, Aufbewahrungskarton

Ausführung: Präparateserie
Bewertungen lesen, schreiben und diskutieren... mehr
Kundenbewertungen für "Histologie Mensch u. Säugetier Lehrerpaket SMD-10 (Ergänzungsp.)"
Bewertung schreiben
Bewertungen werden nach Überprüfung freigeschaltet.

Die mit einem * markierten Felder sind Pflichtfelder.

Zuletzt angesehen